Apr
When it comes to treating cavities in children, traditional dental procedures like drilling and fillings aren’t always the easiest—or most comfortable—options. Fortunately, modern dentistry offers a minimally invasive alternative that’s gaining popularity: Silver Diamine Fluoride (SDF).
As a leading Baltimore kids dentist, we are proud to offer this stress-free solution to help keep your child’s smile healthy without the anxiety often associated with the dental chair.

Silver diamine fluoride is a liquid medication used to prevent and stop tooth decay. It combines two powerful components:
Silver: Acts as an antimicrobial agent, killing the bacteria that cause cavities.
Fluoride: Helps strengthen tooth enamel and prevent further decay.
This simple yet effective solution can halt cavity progression without the need for drilling or local anesthesia.

Children—especially very young ones or those with dental anxiety—may struggle with traditional treatments. Choosing a Baltimore kids dentist who utilizes SDF provides several advantages:
Non-invasive: No needles or drilling required.
Quick application: The liquid can be applied in just a few minutes.
Pain-free: Ideal for anxious or special needs children.
Cost-effective: More affordable than many restorative procedures.
Because of these benefits, SDF is an excellent tool for children who may not yet be ready to tolerate conventional dental care.

Our team may recommend SDF in cases such as:
Early childhood caries (baby bottle tooth decay).
Cavities in very young or uncooperative children.
Patients with special healthcare needs.
Temporary solutions until a child is older and ready for a definitive restoration.
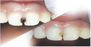
While SDF is highly effective, it does come with one notable drawback: black staining. The area of the tooth where the decay is present will turn dark or black permanently. This discoloration is actually a good sign—it indicates that the decay has been successfully arrested—but it may be a cosmetic concern, especially on front teeth. We always discuss this with parents in detail before beginning treatment.
Yes. SDF is considered safe and has been cleared by the U.S. Food and Drug Administration. It has been used internationally for decades to treat tooth sensitivity and is widely used “off-label” by every proactive Baltimore kids dentist to stop the spread of cavities.
For many families at Smiles4Children, SDF offers a stress-free, effective way to manage cavities. While it may not replace traditional fillings in every situation, it provides an excellent alternative when comfort and simplicity matter most.
If you’re considering SDF for your child, contact us today to see if it’s the right option for your little one’s smile! Smiles4Children is here to support your child’s dental health journey with 3 locations, Catonsville, Ellicott City and Eldersburg! Don’t forget to follow along with us on Instagram and Facebook for more up-to-date information!